|
Ответ на сообщение Макросъемка в стоматологии.Необходимы советы профи. пользователя Атмосфер
Вне ассоциаций, вне конкуренции...
Ответ на сообщение Макросъемка в стоматологии.Необходимы советы профи. пользователя Атмосфер
Ответ на сообщение Re: Макросъемка в стоматологии.Необходимы советы профи. пользователя Victor-885
Ответ на сообщение Re: Макросъемка в стоматологии.Необходимы советы профи. пользователя W1zzard
Сниму двух хорошеньких девушек. Трех не сниму - здоровье уже не то...
Ответ на сообщение Re: Макросъемка в стоматологии.Необходимы советы профи. пользователя asma de jour
Ответ на сообщение Re: Макросъемка в стоматологии.Необходимы советы профи. пользователя Victor-885
Можно обойтись и простыми пыхами с рассеивателями, только их надо хотя бы пару.а вот в этом месте поподробнее, пожалуйста, как будут освещены коренные зубы ???
Вне ассоциаций, вне конкуренции...
Ответ на сообщение Re: Макросъемка в стоматологии.Необходимы советы профи. пользователя W1zzard

Сниму двух хорошеньких девушек. Трех не сниму - здоровье уже не то...
Ответ на сообщение Re: Макросъемка в стоматологии.Необходимы советы профи. пользователя asma de jour

Ответ на сообщение Макросъемка в стоматологии.Необходимы советы профи. пользователя Атмосфер
В мою бленду поместятся все ваши мыльницы
Ответ на сообщение Re: Макросъемка в стоматологии.Необходимы советы профи. пользователя asma de jour
Ответ на сообщение Re: Макросъемка в стоматологии.Необходимы советы профи. пользователя W1zzard
Ответ на сообщение Re: Макросъемка в стоматологии.Необходимы советы профи. пользователя Victor-885
Ответ на сообщение Re: Макросъемка в стоматологии.Необходимы советы профи. пользователя Павел Сергеевич
напихать в рот светодиодов и фотать!Насколько я знаю, реклама на форуме запрещена![]()

плохой купил ты телевизор
в нем лишь убийства и разврат
верни наш старый черно белый
где мир гагарин и мосфильм
Ответ на сообщение Re: Макросъемка в стоматологии.Необходимы советы профи. пользователя W1zzard
Ответ на сообщение Re: Макросъемка в стоматологии.Необходимы советы профи. пользователя Victor-885
возьмите 50мм макро и 100мм макро и снимите 5см на весь кадр одним и другим, потом считайте ГРИП и удивляйтесь.Ответ на сообщение Re: Макросъемка в стоматологии.Необходимы советы профи. пользователя W1zzard
...У меня такое впечатление что макро вы ни разу не снимали.У вас неверное впечатление. Все, о чем я здесь написал, я знаю из собственного опыта. Зубы, разумеется, я никогда не снимал. Думаю, что и вы тоже. Но в остальном я хорошо знаю различия, что я получу съемкой в режиме макро, а что обычным телевиком.
Ответ на сообщение Re: Макросъемка в стоматологии.Необходимы советы профи. пользователя W1zzard
А вот это уже неверно о чем я и пишу уже четвертый кажется раз. Ну хотябы вон асма давал ссылку на программу по расчету ГРИП, возьмите да и сравните сами. Или пойдите вдвоем с асмой в техносити, у него там связиизвините, а можно еще раз эту ссылку?возьмите 50мм макро и 100мм макро и снимите 5см на весь кадр одним и другим, потом считайте ГРИП и удивляйтесь.
У меня такое впечатление что макро вы ни разу не снимали.

я тебе один умный вещь скажу, только ты не обижайся...
Ответ на сообщение Re: Макросъемка в стоматологии.Необходимы советы профи. пользователя Kitsen
Ответ на сообщение Re: Макросъемка в стоматологии.Необходимы советы профи. пользователя Victor-885
А отмотать топик назад не судьба?Я бы ткнул по ссылке, если бы было прямо написано, что под ней.
http://ru.wikipedia.org/wiki/%D0%93%D0%A0%D0%98%D0%9F
я тебе один умный вещь скажу, только ты не обижайся...
Ответ на сообщение Макросъемка в стоматологии.Необходимы советы профи. пользователя Атмосфер

Трумант! Ну ты и скатина! (с)
Ответ на сообщение Макросъемка в стоматологии.Необходимы советы профи. пользователя Атмосфер

heat and power engineering
Ответ на сообщение Re: Макросъемка в стоматологии.Необходимы советы профи. пользователя Chuck_Norris
Ответ на сообщение Re: Макросъемка в стоматологии.Необходимы советы профи. пользователя Атмосфер
Ответ на сообщение Re: Макросъемка в стоматологии.Необходимы советы профи. пользователя Атмосфер
Схватил жопку в брюсселе
бабами любимы
тёплые коты
а чего добился
в этой жизни ты
Ответ на сообщение Re: Макросъемка в стоматологии.Необходимы советы профи. пользователя Атмосфер
Ответ на сообщение Re: Макросъемка в стоматологии.Необходимы советы профи. пользователя Атмосфер
Ответ на сообщение Re: Макросъемка в стоматологии.Необходимы советы профи. пользователя Атмосфер
Ответ на сообщение Re: Макросъемка в стоматологии.Необходимы советы профи. пользователя Атмосфер
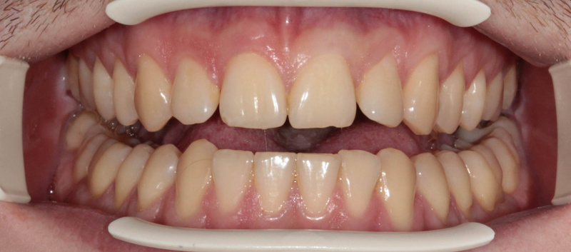
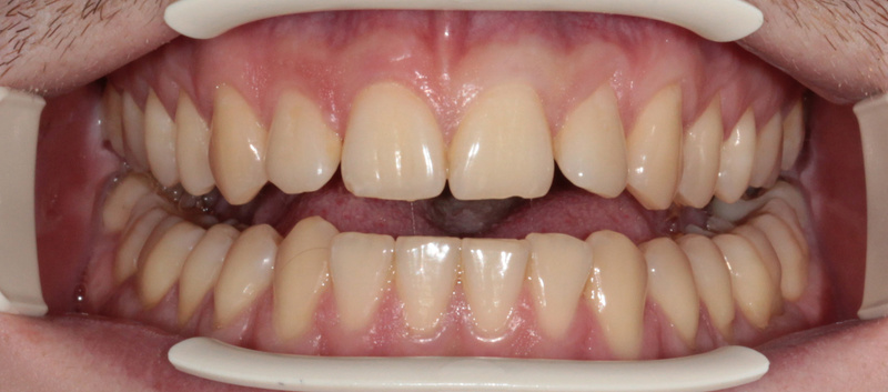
Ещё. Какие замечания по настройкам?горизонт завален...

фотографирую
Ответ на сообщение Re: Макросъемка в стоматологии.Необходимы советы профи. пользователя prioritet
НовосибиреЦ
Ответ на сообщение Re: Макросъемка в стоматологии.Необходимы советы профи. пользователя NoooK


Сниму двух хорошеньких девушек. Трех не сниму - здоровье уже не то...
Ответ на сообщение Re: Макросъемка в стоматологии.Необходимы советы профи. пользователя asma de jour

Все постепенно наладится
Ответ на сообщение Re: Макросъемка в стоматологии.Необходимы советы профи. пользователя Leonmos


Сниму двух хорошеньких девушек. Трех не сниму - здоровье уже не то...
Ответ на сообщение Re: Макросъемка в стоматологии.Необходимы советы профи. пользователя asma de jour

НовосибиреЦ
Ответ на сообщение Макросъемка в стоматологии.Необходимы советы профи. пользователя Атмосфер
