Хочется рассказать об этой истории, т.к. возможно кто-то перед покупкой собаки это прочитает и сделает определенные выводы для себя, да и просто не вижу смысла молчать.
В декабре 2021 года мы купили щенка САО. Больше двух лет отходили от ухода собаки и не планировали покупку совсем, но случайно на авито увидели объявление. Выбор был максимально спонтанным, решение было принято моментально. Ехали за определенным щенком и больше никого не смотрели (сейчас понимаю, что так нельзя, будет уроком).
Щенку было 1,5 месяца. Детская неуклюжесть, постоянно падает. Позже стали обращать внимание, что она прыгает как зайчик, но выводы было рано делать. А потом картина начала складываться полностью. После сна собака долго сидит, ей проще подползти на передних лапах к игрушке, чем встать. При небольших прогулках – усталость. В три месяца описали симптомы терапевту. Получили логичный ответ – подозрения обоснованы, но может что-то изменится, подождите до 6 месяцев. Не теряя оптимизма, дождались. Высокая утомляемость, хромота, слабость в задних лапах.
Потом был визуальный осмотр у другого специалиста. Подозрения подтвердили. Точно дисплазия, но не ясно Д или Е.
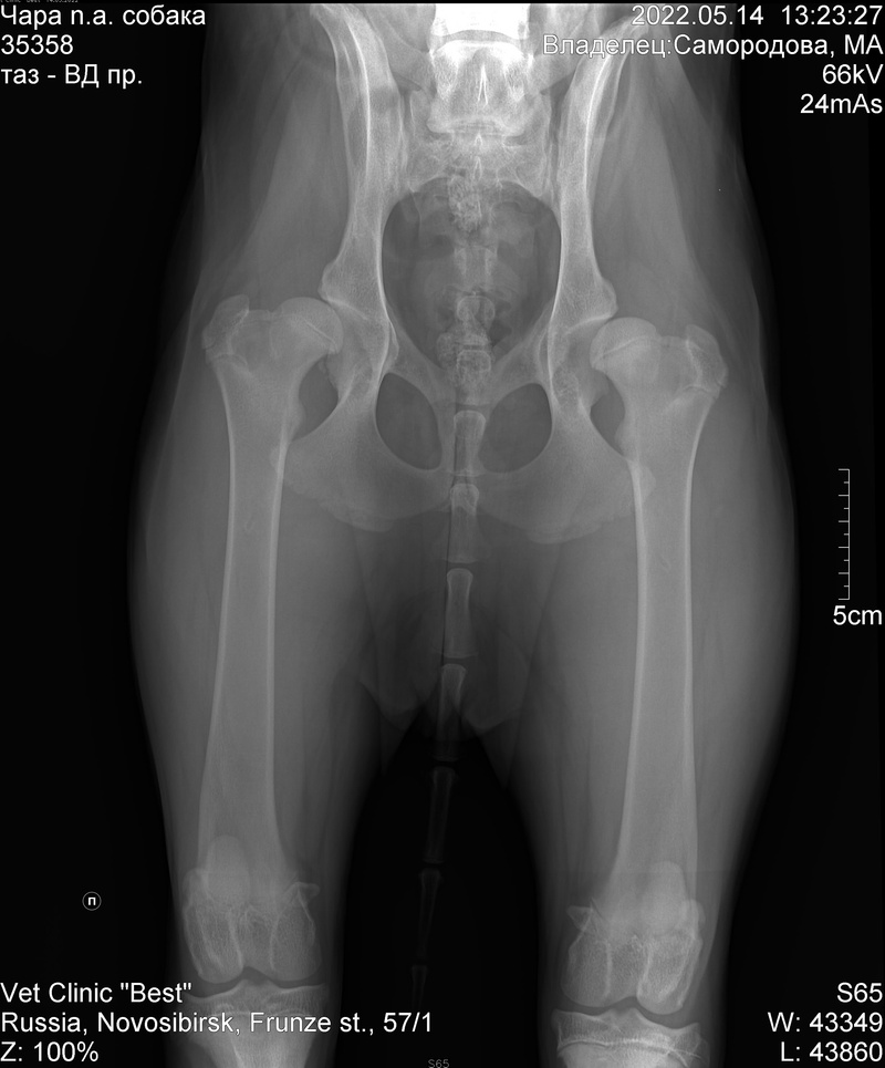
Нашли специалиста (по рекомендации врача РКФ), сделали снимок. Диагноз: терминальный остеоартрит тазобедренных суставов на фоне двусторонней дисплазии ТБС. Первый вопрос, который мы задали – есть ли в этом наша вина и могли ли мы это избежать? Три специалиста нам ответили – нет, это врожденное, без вариантов.
Прошла неделя и случайно наткнулась на новое объявление о продаже щенков от этого заводчика (Екатерины Бондарь). Было принято решение написать. Хотелось узнать информацию о родителях, понять были ли похожие проблемы и сообщить об этой ситуации. Никаких обвинений, материальных требований я не предъявляла. Мне ничего было не нужно (ну может немного адекватности и поддержки).
Разговора не получилось, со стороны заводчика был прекрасный длинный монолог со следующими тезисами:
1.Сами угробили щенка;
2.У меня такого никогда не было, хотя было три раза, но там владельцы виноваты;
3.Это приобретенное;
4.Вы ничего не докажете, вы подставную собаку возили в клинику;
5.А докажите, что вы у меня покупали;
6.Это подстава и развод;
7.Врожденной дисплазии не может быть;
8.Вы обманываете;
9.Вас клиника разводит на деньги;
10.Вы специально пытаетесь найти проблемы;
11.Вы тупо не смогли нормально вырастить собаку, очень жалею, что она досталась вам;
12.Да это заговор клиник, подождите еще годик, все наладится;
13.Вы просто глупая блондинка, мне все это сказали;
14.Сколько собак ваш ветеринар вырастил? А сколько вырастила я? Понимаете кого нужно слушать?
15.У меня уже одну собаку так угробили (история про не очень умных людей).
Потом было огромное количество домыслов про условия содержания и варианты как я на это повлияла. Поток сообщений. Звонки с обвинениями.
Вот зачем? Заводчик даже не спросил, как живет собака, как себя чувствует, почему мы вообще обратились к специалистам.
Итогом стало предложение выкупить собаку (жалко, что она с такими людьми живет). Супер.
Я не считаю, что в этом есть моя вина, и уверенна, что диагноз можно поставить и в семь месяцев. Моя собака не может долго ходить, она не бегает, ей тяжело играть и любая продолжительная активность теперь возможна только на обезболивающих.
Больше всего меня поразила реакция заводчика. Но это на ее совести. Надеюсь, что кто-то прочитает это перед покупкой и подумает.
Информация о заводчике:
Екатерина Бондарь ( inst: bondar_ekaterina_kahraba, вк: id202838310), питомник - искра сердца.
Ниже прикрепила снимок, объявление о продаже нашей собаки.
В декабре 2021 года мы купили щенка САО. Больше двух лет отходили от ухода собаки и не планировали покупку совсем, но случайно на авито увидели объявление. Выбор был максимально спонтанным, решение было принято моментально. Ехали за определенным щенком и больше никого не смотрели (сейчас понимаю, что так нельзя, будет уроком).
Щенку было 1,5 месяца. Детская неуклюжесть, постоянно падает. Позже стали обращать внимание, что она прыгает как зайчик, но выводы было рано делать. А потом картина начала складываться полностью. После сна собака долго сидит, ей проще подползти на передних лапах к игрушке, чем встать. При небольших прогулках – усталость. В три месяца описали симптомы терапевту. Получили логичный ответ – подозрения обоснованы, но может что-то изменится, подождите до 6 месяцев. Не теряя оптимизма, дождались. Высокая утомляемость, хромота, слабость в задних лапах.
Потом был визуальный осмотр у другого специалиста. Подозрения подтвердили. Точно дисплазия, но не ясно Д или Е.
Нашли специалиста (по рекомендации врача РКФ), сделали снимок. Диагноз: терминальный остеоартрит тазобедренных суставов на фоне двусторонней дисплазии ТБС. Первый вопрос, который мы задали – есть ли в этом наша вина и могли ли мы это избежать? Три специалиста нам ответили – нет, это врожденное, без вариантов.
Прошла неделя и случайно наткнулась на новое объявление о продаже щенков от этого заводчика (Екатерины Бондарь). Было принято решение написать. Хотелось узнать информацию о родителях, понять были ли похожие проблемы и сообщить об этой ситуации. Никаких обвинений, материальных требований я не предъявляла. Мне ничего было не нужно (ну может немного адекватности и поддержки).
Разговора не получилось, со стороны заводчика был прекрасный длинный монолог со следующими тезисами:
1.Сами угробили щенка;
2.У меня такого никогда не было, хотя было три раза, но там владельцы виноваты;
3.Это приобретенное;
4.Вы ничего не докажете, вы подставную собаку возили в клинику;
5.А докажите, что вы у меня покупали;
6.Это подстава и развод;
7.Врожденной дисплазии не может быть;
8.Вы обманываете;
9.Вас клиника разводит на деньги;
10.Вы специально пытаетесь найти проблемы;
11.Вы тупо не смогли нормально вырастить собаку, очень жалею, что она досталась вам;
12.Да это заговор клиник, подождите еще годик, все наладится;
13.Вы просто глупая блондинка, мне все это сказали;
14.Сколько собак ваш ветеринар вырастил? А сколько вырастила я? Понимаете кого нужно слушать?
15.У меня уже одну собаку так угробили (история про не очень умных людей).
Потом было огромное количество домыслов про условия содержания и варианты как я на это повлияла. Поток сообщений. Звонки с обвинениями.
Вот зачем? Заводчик даже не спросил, как живет собака, как себя чувствует, почему мы вообще обратились к специалистам.
Итогом стало предложение выкупить собаку (жалко, что она с такими людьми живет). Супер.
Я не считаю, что в этом есть моя вина, и уверенна, что диагноз можно поставить и в семь месяцев. Моя собака не может долго ходить, она не бегает, ей тяжело играть и любая продолжительная активность теперь возможна только на обезболивающих.
Больше всего меня поразила реакция заводчика. Но это на ее совести. Надеюсь, что кто-то прочитает это перед покупкой и подумает.
Информация о заводчике:
Екатерина Бондарь ( inst: bondar_ekaterina_kahraba, вк: id202838310), питомник - искра сердца.
Ниже прикрепила снимок, объявление о продаже нашей собаки.

