Ответ на сообщение Re: Косточки на ногах пользователя Dusik
|
Ответ на сообщение Re: Косточки на ногах пользователя Dusik
Ответ на сообщение Re: Косточки на ногах пользователя лелу
Ответ на сообщение Re: Косточки на ногах пользователя Dusik
Ответ на сообщение Re: Косточки на ногах пользователя лелу

Исправлено пользователем Dusik (23.03.09 13:51)
Ответ на сообщение Re: Косточки на ногах пользователя Dusik
Ответ на сообщение Re: Косточки на ногах пользователя лелу
Тогда к лету будете уже на новых ножках 
Исправлено пользователем Dusik (23.03.09 14:55)
Ответ на сообщение Косточки на ногах пользователя Юрка
Когда-нибудь я стану лучше и мудрее, чем теперь (с)
Ответ на сообщение Re: Косточки на ногах пользователя Hoda
Жду ваших вопросов.
Ответ на сообщение Re: Косточки на ногах пользователя Barguzin
Ответ на сообщение Re: Косточки на ногах пользователя AverAnna
Когда-нибудь я стану лучше и мудрее, чем теперь (с)
Ответ на сообщение Re: Косточки на ногах пользователя Barguzin

Ответ на сообщение Re: Косточки на ногах пользователя AverAnna
Сейчас при каблуках выше 4 см я очень сильно стираю себе место перед пальцами снизу, так что каблуки я не ношу.Никогда никаких оперций не делала, на ноги не жалуюсь, ттт. Но у меня так же натирается, то же место, поэтому каблуки не люблю. Возможно, это и не из-за операции у Вас?
Плету бомбические афрокосы и дреды
Исправлено пользователем troya (20.04.11 19:16)
Ответ на сообщение Re: Косточки на ногах пользователя troya
Ответ на сообщение Re: Косточки на ногах пользователя AverAnna
Когда-нибудь я стану лучше и мудрее, чем теперь (с)
Ответ на сообщение Re: Косточки на ногах пользователя AverAnna
Когда-нибудь я стану лучше и мудрее, чем теперь (с)
Ответ на сообщение Re: Косточки на ногах пользователя Barguzin
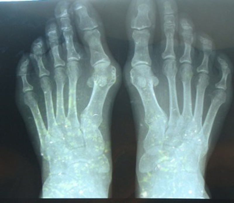
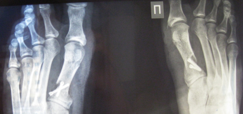
Оперировал Пахомов, хотя записывалась я у другого, они как-то все поменяли в последние дни. У меня в каждой ступне по 2 винта (скрепляют большой палец и кость в стопе) - это была остеотомия. Шрамы на мой взгляд не бросаются в глаза (может завтра сфотаю и выложу до и после). Фитнесом я занималась, с этим все нормально. Правда первую зиму после операции я лыжный сезон пропустила, хотя запрещено мне не было. Ещё мне говорили, что можно после заживления костей вытащить винты (или у кого пластины), но естественно проходить оперативное вмешательство опять я не собиралась. По поводу восстановления: недели полторы после выписки по дому я каталась на стуле с колесиками - жалела себя и не ходила:)... потом месяц ходила в спецобуви (о ней писали выше), выглядело это по дурацки, но уж точно лучше костылей с гипсом. Потом ещё месяца 3 ходила в удобной мягкой обуви на плоской подошве, вот и всё. Спрашивайте что интересует, а то у нас реально об этом мало информации.Ответ на сообщение Re: Косточки на ногах пользователя AverAnna
. Информации, действительно об этом мало, хотя проблема распространнённая и операций проводится много... Если не трудно, пожалуйста, выложите фото ДО и ПОСЛЕ, ничто так не вдохновляет на ОП, как увиденный реальный результат :D. Или можете скинуть их мне на мейл ollga-h@yandex.ru. Вообще, хотелось бы иметь с Вами какую-то связь постоянную (мейл или номнр тел.), чтобы в случае необходимомти задать вопросы. Я ходила к Пахомову месяц назад, правда, без снимка, т.к. ещё кормила грудью ребёнка, просто хотела подробнее узнать об ОП. У меня после беременности стопа совсем "разошлась" и появилась боль - неврома Мортона, может быть Вы знаете, что это такое. Так что на ОП настроена однозначно, нужно решать проблему косточек и плоскостопия, пока не стала инвалидом. Пахомов всё подробно рассказал о методике ОП и мы договорились встретиться ещё раз после того, как я закончу гр. вскармливание. Вот я его закончила, скоро пойду сделаю снимок и опять к нему. ОП буду делать в начале сентября, чтобы с НГ выйти на работу. И дочь уже немного подрастёт, папа с ней один справится :D. Но Пахомов мне сказал, что остеотомия они больше не практикуют, используют только методику с установкой пластин, на мой вопрос "почему отказались?", ответил, что при такой ОП чаще возникают рецедивы. Но я думаю, что рецедивы возможны, если не заниматься своми ногами в дальнейшем, не беречь их (я имею ввиду ортопедич. стельки, высокий каблук как можно реже).Когда-нибудь я стану лучше и мудрее, чем теперь (с)
Ответ на сообщение Re: Косточки на ногах пользователя Barguzin
+ сейчас вышлю вам сообщение на почту, обращайтесьОтвет на сообщение Re: Косточки на ногах пользователя Barguzin
Ответ на сообщение Re: Косточки на ногах пользователя Barguzin

Ответ на сообщение Re: Косточки на ногах пользователя Barguzin

Ответ на сообщение Re: Косточки на ногах пользователя AverAnna
Когда-нибудь я стану лучше и мудрее, чем теперь (с)
Ответ на сообщение Re: Косточки на ногах пользователя Barguzin

Ответ на сообщение Re: Косточки на ногах пользователя AverAnna
Когда-нибудь я стану лучше и мудрее, чем теперь (с)
Ответ на сообщение Re: Косточки на ногах пользователя Barguzin

Ответ на сообщение Re: Косточки на ногах пользователя Barguzin
Когда-нибудь я стану лучше и мудрее, чем теперь (с)
Ответ на сообщение Re: Косточки на ногах пользователя Barguzin
Она сегодня пахнет корицей...снежинками и апельсинами...Она сегодня обнимает весь мир,ведь она верит,верит в сказки...
Ответ на сообщение Re: Косточки на ногах пользователя livian

Когда-нибудь я стану лучше и мудрее, чем теперь (с)
Ответ на сообщение Re: Косточки на ногах пользователя Barguzin
Свобода есть утрата всяческих надежд.
Ответ на сообщение Re: Косточки на ногах пользователя brod
Ответ на сообщение Re: Косточки на ногах пользователя brod
Когда-нибудь я стану лучше и мудрее, чем теперь (с)
Ответ на сообщение Re: Косточки на ногах пользователя Крыска
Когда-нибудь я стану лучше и мудрее, чем теперь (с)
Ответ на сообщение Косточки на ногах пользователя Barguzin
Свобода есть утрата всяческих надежд.
Ответ на сообщение Re: Косточки на ногах пользователя brod
Ответ на сообщение Re: Косточки на ногах пользователя Котокот
Когда-нибудь я стану лучше и мудрее, чем теперь (с)
Ответ на сообщение Re: Косточки на ногах пользователя Barguzin
Ответ на сообщение Re: Косточки на ногах пользователя Котокот
), т.е восполённого нароста на головке плюсневой кости? Когда-нибудь я стану лучше и мудрее, чем теперь (с)
Ответ на сообщение Re: Косточки на ногах пользователя Barguzin
реабилитация довольно тяжёлая и физически и психологически, но пережить можно.Можно поподробнее, какие еще проблемы кроме того, что ходить нельзя? Моей маме надо бы убрать косточки, но возраст и все такое...
Ответ на сообщение Re: Косточки на ногах пользователя Ява
Когда-нибудь я стану лучше и мудрее, чем теперь (с)
Ответ на сообщение Re: Косточки на ногах пользователя Barguzin
Ответ на сообщение Re: Косточки на ногах пользователя Barguzin
Ответ на сообщение Re: Косточки на ногах пользователя Ява
Когда-нибудь я стану лучше и мудрее, чем теперь (с)
Ответ на сообщение Re: Косточки на ногах пользователя Barguzin
Ответ на сообщение Re: Косточки на ногах пользователя Азазель
Когда-нибудь я стану лучше и мудрее, чем теперь (с)
Ответ на сообщение Re: Косточки на ногах пользователя Азазель
Моей сестре двоюродной нужно на левой ноге сделать такую операцию. Подскажите, а по цене это дорогая операция? Хоть понять во сколько это выйдет?Насколько мне известно в НИИТО можно бесплатно сделать по федеральным квотам.
Ответ на сообщение Re: Косточки на ногах пользователя ri_alex
Ответ на сообщение Re: Косточки на ногах пользователя Котокот
Ответ на сообщение Re: Косточки на ногах пользователя Котокот
Свобода есть утрата всяческих надежд.
Ответ на сообщение Re: Косточки на ногах пользователя Anzhela
Операция это уже крайний шаг.Моя мама в своё время отказалась от операции, причины разные (маленькие дети, работа, дача и пррр.), но, скорее, причина была одна - страх! Пыталась лечить народными методами: мазала голодной слюной, йодом, делала аппликации из черного хлеба...Не помогло. Результат на сегодняшний день: деформация стоп (большой палец залез под второй палец), сильные боли в ногах, невозможна длительная ходьба, невозможно купить обувь, до сих пор ходит в уггах. Если есть возможность и даже если её нет, делайте операцию, никакие стельки, примочки Вам не помогут!!! Помимо эстетики, Вы существенно улучшите качество будущей жизни!
А есть какие-то способы профилактики (если можно так сказать), чтобы увидеть вовремя и что-то предпринять?
У меня еще в лет 15 начали косточки расти, мне посоветовали мазать их каждый день йодом, чтобы прекратить рост. Но вроде помогло. А теперь думаю, вдруг они опять начнут расти?! Не йодом же мазать одним?
Кто-то что-то пробовал? Может посоветовать?
Ответ на сообщение Re: Косточки на ногах пользователя PANY
мучаются страшно (долго не походишь, обувь удобную не найдешь)... надо отправить их в НИИТО... даже не знала о такой операции...