Ответ на сообщение Re: Брекеты пользователя БестолКошка
|
Ответ на сообщение Re: Брекеты пользователя БестолКошка
Ответ на сообщение Re: Брекеты пользователя Asfura
Порекомендуйте пожалуйста хорошего ортодонта, несколько страниц прочитала нашла только нелестные отзывы о стоматологии на Нарымской.Бурилов Александр Борисович хороший, добрый и грамотный. НЕ ПОНРАВИЛАСЬ КЕДРИНСКАЯ! удалила три зуба нормальных и теперь места мало и нижние зубы так сдвинулись назад, что рот корявый, подбородок торчит вперед, я стала шипилявить, а она сказала , что менять мне ничего не собирается так как считает себя ортодонтом высшего уровня, а то что мне не крмфортно и щель между зубами в 9мм - это все равно ей. а я откусить ничего не могу нормально. сто раз подумайте, прежде чем выбарать врвча. может кому-то Кедринская в 6 поликлинике и сделала нормально. но это у нее избирательно, видимо, по настроению...
Ответ на сообщение Брекеты пользователя Dakota
Ответ на сообщение Re: Брекеты пользователя Ленакиса
Ответ на сообщение Брекеты пользователя Dakota
Ответ на сообщение Re: Брекеты пользователя Ленакиса
я очень сильно ошиблась врвчом. обратилась к Кедринской Натальи Борисовне, сначала она бегала, чтоб сделать впечатление радости, а прцесс лечени был молча, любой мой вопрос вызывал неохотливый ответ от нее, а в конце она как руки опустила, все леченик насмарку. ни прикуса, ни нормальной речи, ни потрачннных средств. зуб мне спилила не спросив меня об этом и сделала она это криво. на телефон не дозвониться к ним вообще, только смс пишите, а они типа потом перезвонят.Так она еще работает??? В свое время я тоже "попала" с этим врачом! 4 года носила брекеты одновременно снизу и сверху. В итоге получился кошмар и ужас... Рассчитывала на один результат, а получилось прямо противоположно. Плюс немалую сумму потратила. Была бы я стервознее и конфликтнее- подала бы на нее в суд, потому что сохранила все чеки, снимки и слепки. В итоге пришлось ставить металлокерамику опять же за свои деньги вместо испорченных зубов.
Говорите,говорите...я всегда зеваю,когда мне интересно
Ответ на сообщение Re: Брекеты пользователя Лава_Лагуна
Ответ на сообщение Re: Ищу хорошего детского ортодонта пользователя Yaya
Ответ на сообщение Re: Брекеты пользователя Лава_Лагуна
"Всей своей жизнью Александр Сергеевич Пушкин учит нас тому, что в России талантливому человеку сначала надо научиться стрелять"
Ответ на сообщение Re: Брекеты пользователя Ленакиса
Ответ на сообщение Re: Брекеты пользователя Ленакиса
Ответ на сообщение Re: Брекеты пользователя Галинка
Ответ на сообщение Re: Брекеты пользователя natansk
Еще интересует, сильно ли портится эмаль зубов от ношения брекетов и какой тип брекетов по вашему мнению наиболее безопасен для эмализависимости между видом брекетов и состоянием эмали нет,
Ответ на сообщение Брекеты пользователя Elein
Я не могу спать спокойно, зная, что на кухне одиноко лежит пирожок...
В наш век искусственного меха
и нефтью пахнущей икры
нет ничего дороже смеха,
любви, печали и игры.
Ответ на сообщение Re: Брекеты пользователя Lylok
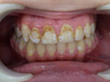
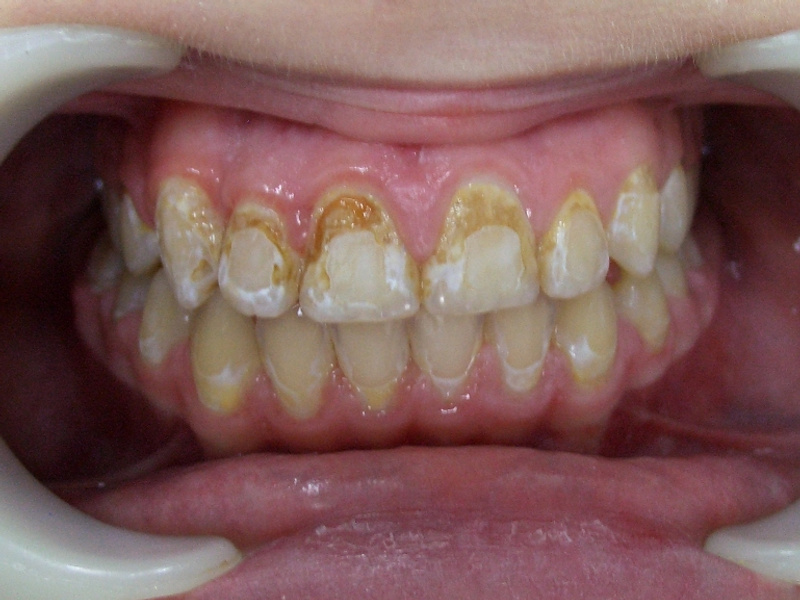
Маммма родная. Он што, совсем зубы не чистил?И правда...? Каппец какой-то.![]()
Ответ на сообщение Re: Брекеты пользователя Ljaguha

Ответ на сообщение Re: Брекеты пользователя Ljaguha
я несу твое сердце...твое сердце в моем....
Ответ на сообщение Re: Брекеты пользователя Ljaguha

Я не могу спать спокойно, зная, что на кухне одиноко лежит пирожок...
В наш век искусственного меха
и нефтью пахнущей икры
нет ничего дороже смеха,
любви, печали и игры.
Ответ на сообщение Re: Брекеты пользователя Lylok
я несу твое сердце...твое сердце в моем....
Ответ на сообщение Re: Брекеты пользователя oxygen2610

Я не могу спать спокойно, зная, что на кухне одиноко лежит пирожок...
В наш век искусственного меха
и нефтью пахнущей икры
нет ничего дороже смеха,
любви, печали и игры.
Ответ на сообщение Re: Брекеты пользователя oxygen2610

Ответ на сообщение Брекеты пользователя Dakota
Ответ на сообщение Re: Брекеты пользователя Lissa
Говорите,говорите...я всегда зеваю,когда мне интересно
Исправлено пользователем Doctor_Who (26.03.16 16:37)
Ответ на сообщение Брекеты пользователя Dakota
Ответ на сообщение Re: Брекеты пользователя 040286
Говорите,говорите...я всегда зеваю,когда мне интересно
Исправлено пользователем Lavalaguna (07.08.12 07:01)
Ответ на сообщение Брекеты пользователя Dakota
Ответ на сообщение Брекеты пользователя Dakota
В итоге сейчас внизу два зуба друг на друга лезут, а на верхних появилась щель.... Оказалось врач собралась уходить из ортодонтов и видимо чтобы поменьше пациентов передавать другим врачам спешно сняла мне брекеты.А вот и не угадали.....
Ответ на сообщение Re: Брекеты пользователя Lylok
Ответ на сообщение Re: Брекеты пользователя Lissa
Ответ на сообщение Re: Брекеты пользователя Dakota
Ответ на сообщение Re: Брекеты пользователя Kiscake
Ответ на сообщение Re: Брекеты пользователя Yaya
Ответ на сообщение Брекеты пользователя Лава_Лагуна
Ответ на сообщение Re: Брекеты пользователя Аленкины
для закрытия этих ужасных дырок вместо передних зубов. Об имплантах даже речи не шло-на них мне бы кредит и не дали. Сейчас,кстати,уже прошло почти 10 лет,скоро надо менять коронки....Уже сходила к тому же ортопеду,который тогда мне их ставил,насчитали что-то около 100 тысяч.Теперь,конечно,справлюсь без кредита,но тем не менее... Спасибо Наталье Борисовне еще разГоворите,говорите...я всегда зеваю,когда мне интересно
Ответ на сообщение Брекеты пользователя Лава_Лагуна
Ответ на сообщение Re: Брекеты пользователя Аленкины
Говорите,говорите...я всегда зеваю,когда мне интересно
Ответ на сообщение Re: Брекеты пользователя Лава_Лагуна
Ответ на сообщение Re: Брекеты пользователя Аленкины
Говорите,говорите...я всегда зеваю,когда мне интересно
Ответ на сообщение Брекеты пользователя Лава_Лагуна
Мало кто знает, что Шрёдингер обожал русские сказки. Особенно радовали его фразы "долго ли, коротко ли", "видимо-невидимо" и, конечно же, "ни жив, ни мёртв".
Ответ на сообщение Re: Брекеты пользователя Галинка
Ответ на сообщение Re: Брекеты пользователя Snowsmiles
Мало кто знает, что Шрёдингер обожал русские сказки. Особенно радовали его фразы "долго ли, коротко ли", "видимо-невидимо" и, конечно же, "ни жив, ни мёртв".
Ответ на сообщение Re: Брекеты пользователя Галинка
Говорите,говорите...я всегда зеваю,когда мне интересно
Ответ на сообщение Re: Брекеты пользователя Лава_Лагуна
Мало кто знает, что Шрёдингер обожал русские сказки. Особенно радовали его фразы "долго ли, коротко ли", "видимо-невидимо" и, конечно же, "ни жив, ни мёртв".
Ответ на сообщение Re: Брекеты пользователя Галинка


Ответ на сообщение Re: Брекеты пользователя Галинка
я несу твое сердце...твое сердце в моем....
Ответ на сообщение Re: Брекеты пользователя Julia13
Мало кто знает, что Шрёдингер обожал русские сказки. Особенно радовали его фразы "долго ли, коротко ли", "видимо-невидимо" и, конечно же, "ни жив, ни мёртв".
Ответ на сообщение Re: Брекеты пользователя oxygen2610
Мало кто знает, что Шрёдингер обожал русские сказки. Особенно радовали его фразы "долго ли, коротко ли", "видимо-невидимо" и, конечно же, "ни жив, ни мёртв".
Ответ на сообщение Re: Брекеты пользователя Галинка
Думаю, не только мне пригодитсяГоворите,говорите...я всегда зеваю,когда мне интересно
Ответ на сообщение Re: Брекеты пользователя Галинка

Ответ на сообщение Re: Брекеты пользователя Julia13
Мало кто знает, что Шрёдингер обожал русские сказки. Особенно радовали его фразы "долго ли, коротко ли", "видимо-невидимо" и, конечно же, "ни жив, ни мёртв".